40. Aşağıdakilerden hangisi deride lokal olarak daha sık ülserleşme gösterir?
A) Bazal hücreli kanser
B) Skuamöz hücreli kanser
C) Küçük hücreli karsinom
D) Apokrin karsinom
E) Ekrin poroma
(Cevap A)
41. Bazal hücreli karsinomla ilgili olarak aşağıdakilerden hangisi yanlıştır?
A) Yavaş büyür
B) Nadiren metastaz yapar
C) Rodent ülser oluşturur
D) Papilloma virüs ile ilişkilidir
E) Güneş ışığı ile ilişkilidir
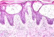
Bazal hücreli karsinom insanda en sık görülen kanserdir. Bazal hücreli karsinom yavaş büyür ve çok nadiren metastaz yapar. SCC gibi immünsüpreselerde ve DNA tamir bozukluklarında sık görülür. Hedgehog yolağındaki PTCH1 geninde bozukluk vardır. Gorlin sendromunda familyal olarak çok sayıda BCC görülür. Histolojik olarak bazal hücreler periferde palizadik dizilime sahiptir. Tümör adaları çevre stromadan çekilmeler gösterir (trikoepitelyoma ile ayrımda önemli) klinikte inci benzeri papüller ve telenjiektatik görünüm vardır.. Pigmente formları malign melanomla karışır.. Rodent ülser tipiktir. Güneşe maruz kalan yerlerde daha sıktır. Squamöz hücreli karsinomun aksine HPV ile ilişkili değildir. Bazal hücreli nevüs sendromunda herediter bazal hücreli karsinom, erken yaşta ve çok sayıda ortaya çıkar. Kemik anomalileri, sinir, göz ve üreme sisteminde anomaliler vardır. (Cevap D)
42. Ağrılı olmayan tümör aşağıdakilerden hangisidir?
A) Bazal hücreli karsinom
B) Glomus tümörü
C) Travmatik nöroma
D) Ecrin spiradenoma
E) Vasküler leiomyom
Ağrılı deri ve yumuşak doku tümörleri; Anjiolipom, travmatik nöroma, Glomus tümörü, Eccrin spiradenoma ve Vasküler lejomyomdur. Bazal hücreli karsinom Rodent ülser oluşturur. Ağrı tipik değildir. (Cevap A)
43. Aşağıdakilerden hangisinin malign melanomaya dönüşme riski en fazladır?
A) Spitz nevüs
B) Compound nevüs
C) Junktional nevüs
D) Displastik nevüs
E) Blue nevüs
Spitz nevüs kırmızı pembe renkli ve çocuklarda sıktır. Klinik olarak hemanjiomla karışır. Blue nevüs siyah-mavi renkli nodül sıklıkla malign melanomla karışır. Displastik nevüs compound nevüse benzer ancak hücreleri sitolojik atipiye sahiptir. Sınırları düzensizdir ve sıklıkla 5 mm’de büyüktür ve özellikle sporadik olarak 10’dan fazla olduğunda veya familyal displastik nevüs sendromlularda sıklıkla malign melanoma dönüşür. Halo nevüste nevüs hücreleri etrafında yoğun lenfositik infiltrasyon vardır. Junktional nevüs dermoepidermal junktionda nevüs hücreleri bulunur ve malign melanoma dönüşme riski vardır. Konjenital nevüs de büyük olduğunda malign melanoma dönüşebilir. Bununla birlikte malign melanomların çoğu de novo gelişir. (Cevap D)
44. Aşağıdaki lokalizasyonların hangisinde, malign melanom gelişme olasılığı en düşüktür?
A) Oral mukoza
B) Meninksler
C) Anogenital mukoza
D) Mesane
E) Göz
(Cevap D)
45. Malign melanomun en kötü prognoza sahip tipi aşağıdakilerden hangisidir?
A) Lentigo maligna melanoma
B) Jüvenil melanom
C) Lentigo maligna
D) Nodüler melanom
E) Süperfisyel yayılan melanom
Nodüler melanom vertikal büyüdüğü için en kötü prognoza sahip malign melanom tipidir. Lentigo maligna melanoma ve süperfisyel yayılan melanom başlangıçta radial yayılır ve daha iyi prognoza sahiptir. Jüvenil melanom çocuklarda görülen benign bir tümördür. Önceden Spitz nevüslere bu isim verilmiştir. Lentigo maligna veya Hutchinson çilleri atipik melanositler içerir ve malign melanomun bir formu olan lentigo maligna melanomaya prekürsördür.
Malign melanom gelişiminde UV ışığın DNA hasarını indüklemesi ve CDKN2A lokusundaki mutasyonlar, BRAF, PTEN, RAS mutasyonları rol oynar. % 5-10 vaka herediterdir ve bunların arasında familyal displastik nevus sendromu da vardır. Tümörlerin çoğu deride olmasına karşın anogenital mukoza, ösefagus, meninksler ve göz de de görülebilir. (Cevap D)
46. Aşağıdaki pigmente lezyonlardan hangisinin daha erken metastaz yapma riski diğerlerinden fazladır?
A) Displastik nevüs
B) Nodüler melanom
C) Pigmente nevüs
D) Spitz nevüs
E) Yüzeyel yayılan melanom
Bir melanomda en önemli konu tümörün radyal büyüme fazında mı veya vertikal büyüme fazında mı olduğudur. Melanom hücreleri radyal büyüme fazında epidermis içindedir ve metastaz ve invazyon kapasitesine sahip değildir. Zamanla vertikal faza geçince bu durum daha saldırgan bir davranış ve daha yüksek metastaz riski getirir. Malign melanomlar arasında nodüler melanom en kötü prognoza sahiptir. İnvazyon derinliği, mitoz sayısı, regresyon varlığı, tümörü infiltre eden lenfositlerin varlığı, cinsiyet ve lokalizasyon prognozda önemlidir. 1,7 mm’den küçük, mitozu az, regresyonu olmayan, tümör içi lenfositi olan, kadın ve ekstremitede yerleşenler daha iyi prognozludur. İmmünohistokimyasal olarak HMB-45 markırı kullanılır. BRAF ve KIT mutasyonlu metastatik tümörlerde hedefe yönelik tedavide iyi sonuçlar oluşmaya başlamıştır. (Cevap B)
47. Clark sınıflamasına göre retiküler dermisi invaze etmiş malign melanom hangi evrededir?
A) Evre I
B) Evre II
C) Evre III
D) Evre IV
E) Evre V
Clark sınıflamasına göre Evre I melanom epidermistedir. Evre II dermisin gevşek, papiller kısmına yayılmıştır. Evre III Tümör papiller dermisi doldurmuş ve retiküler dermis ile papiller dermis arasındadır. Evre IV retiküler dermistedir. Evre V tümör subkutan dokuyu invaze etmiştir. Breslow sınıflamasında ise granüler tabakadan tümörün en derin yerine kadar kalınlık ölçülür. (Cevap D)
48. Aşağıdaki malign tümörlerden hangisi deride primer olarak daha nadir olarak görülür?
A) Malign melanom
B) Bazal hücreli karsinom
C) Kaposi Sarkom
D) Adenokarsinom
E) Skuamöz hücreli karsinom
(Cevap D)
GÖZDEN GEÇİRME
(Aşağıdaki konularla ilgili olarak hatırladıklarınızı gözden geçiriniz ve yazınız…)
Makroskopik tanımlar?
Mikroskopik tanımlar?
Hiperkeratoz?
Parakeratoz?
Akantoz?
Diskeratoz?
Akantoliz?
Papillomatöz?
Spongioz?
Vitiligo?
Ephelis?
Lentigo?
Nevüs?
Displastik nevüs?
Malign melanom?
Seboreik keratoz?
Akantozis nikrikans?
Fibroepitelyal polip?
Keratoakantoma?
Aktinik keratoz?
Squamöz hücreli karsinom?
Bazal hücreli karsinom?
Benign fibröz histiositom?
Dermatofibrosarkoma protuberans?
Xanthoma?
Histiositozis X?
Mycozis fungoides?
Mastositoz?
Ürtiker?
İchtiozis?
Ekzematöz dermatitler?
Eritema multiforme?
Psoriazis?
Lichen planus?
Lupus eritematozus?
Büllöz hastalıklar?
Pemfigus?
Büllöz pemfigoid?
Dermatitis herpetiformis?
Epidermolyzis bülloza?
Acne vulgaris?
Pannikülit?
Verruca?
Molloscum contagiosum?
İmpetigo?
Yüzeyel fungal infeksiyonlar?
Bazal Hücreli Karsinom
Keratoakantoma:
Seboreik keratosis:
Liken planus:
Spongitoik dermatit:
Psoriazis:
Malign melanoma:




